Skip to content Skip to sidebar Skip to footer

44 human heart no labels

Heart Drawing With Label - Sketch Of Human Heart Anatomy With Hand ... Make sure to label the following: This is how to draw human heart diagram step by step.please like share and subscribe my youtube channel. Drag and drop the text labels onto the boxes next to the diagram. How to draw human heart labeled · 1.draw a oblique line from right to left · 2.draw a cone shape as shown in the figure. Human Heart Diagram Labeled | Science Trends Jan 01, 2019 · List Of Heart Structures Heart Chambers Ventricles – The bottom two heart chambers. Atra – The upper two heart chambers. Wall Of The Heart Sinoatrial Node – A collection of tissue that releases electrical impulses and defines the rate of contraction for the heart. Atrioventricular Bundle – The fibers which transmit cardiac impulses.

Label the heart — Science Learning Hub In this interactive, you can label parts of the human heart. Drag and drop the text labels onto the boxes next to the heart diagram. If you want to redo an answer, click on the box and the answer will go back to the top so you can move it to another box. If you want to check your answers, use the Reset Incorrect button.

Human heart no labels

Human heart no labels

Human Heart Labeling Teaching Resources | Teachers Pay Teachers Human Heart Parts and Blood Flow Labeling Worksheets - Diagram/Graphic Organizer by TechCheck Lessons 22 $2.25 Zip This resource contains 2 worksheets for students to (1) label the parts of the human heart and (2) Fill in a flowchart tracing the path of blood flowing though the circulatory system. Answer keys included. Label the Human Heart Lessons, Worksheets and Activities Label the Human Heart. Students can label the parts of the human heart. Label the Human Heart. Find the Resources You Need! Search . More Teaching Resources: • Improving Student Engagement During Distance Learning PD Course • Steps To Literacy Classroom Books & Leveled Readers! Diagram of Human Heart and Blood Circulation in It Jun 02, 2022 · Exterior of the Human Heart A heart diagram labeled will provide plenty of information about the structure of your heart, including the wall of your heart. The wall of the heart has three different layers, such as the Myocardium, the Epicardium, and the Endocardium. Here's more about these three layers. Epicardium

Human heart no labels. Human Heart Drawing With Labels / Anatomical Heart By Dandelionnwine ... In this interactive, you can label parts of the human heart. Png, jpg, gif · no labels version · azərbaycanca · català · english · english · hrvatski · italiano · lingua franca nova. Download this sketch of human heart anatomy with hand written labels vector illustration now. Drag and drop the text labels onto the boxes next to the ... Heart Diagram Unlabeled - Cliparts.co Heart Diagram Unlabeled. 84 images of Heart Diagram Unlabeled. You can use these free cliparts for your documents, web sites, art projects or presentations. Don't forget to link to this page for attribution! How to Draw a Human Heart: 11 Steps (with Pictures) - wikiHow 3. Sketch a forked tube extending from the top of the rounded bump. To make the superior vena cava, draw a tube coming from the top of the right atrium. Make the tube fork about the same length as the bump you made for the right atrium chamber. Blood enters the right atrium through the superior vena cava. File:Diagram of the human heart (cropped).svg - Wikipedia No labels version No labels version No labels version العربية ܐܪܡܝܐ azərbaycanca bosanski বাংলা català Deutsch Deutsch, version 2 Ελληνικά English ... Diagram of the human heart, created by Wapcaplet in Sodipodi. Cropped by ~~~ to remove white space (this cropping is not the same as Wapcaplet's original crop). ...

File:Diagram of the human heart (no labels).svg - Wikimedia Commons This file is licensed under the Creative Commons Attribution-Share Alike 4.0 International license.: You are free: to share - to copy, distribute and transmit the work; to remix - to adapt the work; Under the following conditions: attribution - You must give appropriate credit, provide a link to the license, and indicate if changes were made. You may do so in any reasonable manner, but ... Labelling the heart — Science Learning Hub Blood transports oxygen and nutrients to the body. It is also involved in the removal of metabolic wastes. In this interactive, you can label parts of the human heart. Drag and drop the text labels onto the boxes next to the diagram. Selecting or hovering over a box will highlight each area in the diagram. Heart Drawing With Label : Human Heart Diagram Images Stock Photos ... How to draw human heart with colour | human heart labelled diagram |human heart drawing easy tutorial hi friends, welcome to my channel mnsb . Most frequent question in exam to draw human heart diagram with labels. Png, jpg, gif · no labels version · azərbaycanca · català · english · english · hrvatski · italiano · lingua franca nova. Human Heart Images | Free Vectors, Stock Photos & PSD Find & Download Free Graphic Resources for Human Heart. 30,000+ Vectors, Stock Photos & PSD files. Free for commercial use High Quality Images. ... Close up black and white heart anatomy with labels graphic design. macrovector. 251. Like. Collect. Save. Realistic heart illustration. sergey_kandakov. 774. Like.

Human Heart (Anatomy): Diagram, Function, Chambers, Location in Body The heart is a muscular organ about the size of a fist, located just behind and slightly left of the breastbone. The heart pumps blood through the network of arteries and veins called the ... Heart Diagram No Labels Teaching Resources | Teachers Pay Teachers Human Heart Label the Diagram - Human Anatomy / Body Science Clip Art / Clipart by Hidesy's Clipart 2 $2.00 Zip Label the Human Heart Clipart Set - 17 pieces of clip art in a pack or bundle for your worksheets or educational resources. Human heart label Images, Stock Photos & Vectors | Shutterstock Human heart label images 27,132 human heart label stock photos, vectors, and illustrations are available royalty-free. See human heart label stock video clips Image type Orientation Sort by Popular Anatomy Healthcare and Medical Printing, Typography, and Calligraphy Clothing and Accessories Popular Holidays heart tattooing engraving process t-shirt Human Heart - Anatomy, Functions and Facts about Heart Following are the main functions of the heart: One of the primary functions of the human heart is to pump blood throughout the body. Blood delivers oxygen, hormones, glucose and other components to various parts of the body, including the human heart. The heart also ensures that adequate blood pressure is maintained in the body.

Label Heart

Label Heart

Before anything else, we're all human. - Love Has No Labels Before anything else, we're all human. It's easy to make assumptions about others based on what we see — whether that's race, age, gender, religion, sexual orientation, or ability. The original Love Has No Labels video reminds us that - underneath it all - we are all skeletons who just want to live, love, and be loved, for who we are.

Heart Labels Stock Illustration 293262848 - Shutterstock

Heart Labels Stock Illustration 293262848 - Shutterstock

NO COLOR Human heart label chapter 7.8 Quiz This is an online quiz called NO COLOR Human heart label chapter 7.8 There is a printable worksheet available for download here so you can take the quiz with pen and paper. This quiz has tags. Click on the tags below to find other quizzes on the same subject. heart label cardiovascular system Circulatory System Your Skills & Rank Total Points 0

Labeling the Heart

Labeling the Heart

Label the Human Heart | eCampusOntario H5P Studio Drag and drop the labels to identify the different parts of the human heart. Available for adopting/adapting. ... Medicine & Nursing. Administrative Title Label the Human Heart. H5P ID 191. Last Update 2 years ago. Created 04 Mar 2020. License Error: Failed to load License Attribution. Sarah Wendorf. Instructional Designer, Cambrian College ...

Der bewusste Freigeist: Visual-color-realized Love-Freedom-Heal-Evolution-Dreams produced in ...

Der bewusste Freigeist: Visual-color-realized Love-Freedom-Heal-Evolution-Dreams produced in ...

movanaqe: heart diagram without labels heart diagram without labels. heart diagram to label The human heart weighs less The Heart Diagram No Labels. Color or label the diagram. The Blanks Images +heart+diagram+without+ (no label in the picture). (A) Confocal picture showing a diagram with those labels System Diagram No label yet. Diagram of the heart without cell without labels #1 ...

Human Heart on Behance

Human Heart on Behance

Unlabeled Heart Diagram | Heart diagram, Human heart diagram, Human heart Workouts. Health And Beauty. Health Fitness. Students. Deep to the greater omentum are the mesentery of the small intestine and colon (mesocolon). The mesentery of the small intestines holds many blood vessels. The mesocolon anchors colon to posterior body wall. T. HHSC 225 Anatomy & Physiology II Project.

Human Anatomy Lab: The Urinary and Reproductive Systems

Human Anatomy Lab: The Urinary and Reproductive Systems

Heart Diagram with Labels and Detailed Explanation - BYJUS The human heart is the most crucial organ of the human body. It pumps blood from the heart to different parts of the body and back to the heart. The most common heart attack symptoms or warning signs are chest pain, breathlessness, nausea, sweating etc.

Heart Labeling Quiz: How Much You Know About Heart Labeling? Create your own Quiz Here is a Heart labeling quiz for you. The human heart is a vital organ for every human. The more healthy your heart is, the longer the chances you have of surviving, so you better take care of it. Take the following quiz to know how much you know about your heart. Questions and Answers 1. What is #1? 2. What is #2? 3.

Human&Animal Anatomy and Physiology Diagrams: Anatomy of a Spider

Human&Animal Anatomy and Physiology Diagrams: Anatomy of a Spider

Human Heart - Diagram and Anatomy of the Heart - Innerbody Jul 30, 2020 · The heart is a muscular organ about the size of a closed fist that functions as the body’s circulatory pump. It takes in deoxygenated blood through the veins and delivers it to the lungs for oxygenation before pumping it into the various arteries (which provide oxygen and nutrients to body tissues by transporting the blood throughout the body).

Lable the heart Quiz

Lable the heart Quiz

Human Heart Diagram Without Labels - Pinterest HEART DIAGRAM TO LABEL: Students will label the parts of the heart and describe the path that blood travels as it flows through the human circulatory system. Re-pin and click on this item to learn more! #cardiovascularsystem #bodysystems #circulatorysystem #heart #humanbody #anatomy #healthclass #biology #lifescience.

Oh, by the way...: BEAUTY: Illustration--James Mowry

Oh, by the way...: BEAUTY: Illustration--James Mowry

13+ Heart Diagram Templates - Sample, Example, Format Download This image can be used for text book representations of the interior labels of the human heart. Free Download. Color Heart Diagram Sample Format Free Download. cdhb.health.nz This colored heart diagram is a graphic representation of the organ which can be used for presentations and videos about the subject of human heart. The picture is in a ...

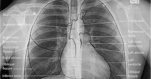
Medical Addicts: Chest X-Ray: Normal PA view

Medical Addicts: Chest X-Ray: Normal PA view

Diagram of Human Heart and Blood Circulation in It Jun 02, 2022 · Exterior of the Human Heart A heart diagram labeled will provide plenty of information about the structure of your heart, including the wall of your heart. The wall of the heart has three different layers, such as the Myocardium, the Epicardium, and the Endocardium. Here's more about these three layers. Epicardium

Human Anatomy Lab: The Respiratory System

Human Anatomy Lab: The Respiratory System

Label the Human Heart Lessons, Worksheets and Activities Label the Human Heart. Students can label the parts of the human heart. Label the Human Heart. Find the Resources You Need! Search . More Teaching Resources: • Improving Student Engagement During Distance Learning PD Course • Steps To Literacy Classroom Books & Leveled Readers!

Similar Images, Stock Photos & Vectors of Part of the human heart. Anatomy - 364774574 ...

Similar Images, Stock Photos & Vectors of Part of the human heart. Anatomy - 364774574 ...

Human Heart Labeling Teaching Resources | Teachers Pay Teachers Human Heart Parts and Blood Flow Labeling Worksheets - Diagram/Graphic Organizer by TechCheck Lessons 22 $2.25 Zip This resource contains 2 worksheets for students to (1) label the parts of the human heart and (2) Fill in a flowchart tracing the path of blood flowing though the circulatory system. Answer keys included.

The heart: How Does The Heart Work?

The heart: How Does The Heart Work?

Pick Correct Options For Human Heart Quiz - ProProfs Quiz

Pick Correct Options For Human Heart Quiz - ProProfs Quiz

The Purple Sunset: Coloring!

The Purple Sunset: Coloring!

Post a Comment for "44 human heart no labels"